دراسة جديدة تشير إلى إمكانية الوقاية من سرطان الدم الأشد خطورة في الأطفال
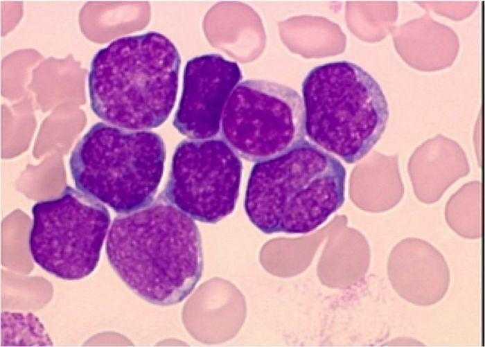
قام أحد الباحثين البريطانيين بإجراء بحث جديد _نشر في مجلة Nature Reviews Cancer_ تضمن مراجعة لمجموعة من الدراسات السابقة حول إصابة الأطفال بسرطان الدم (اللوكيميا)؛ وبوجه خاص سرطان الدم الليمفاوي الحاد (ALL) الذي يُعد أكثر أنواع السرطان شيوعًا في تلك الفئة العمرية، وقد توصل الباحث إلى أن ذلك المرض الفتاك يمكن الوقاية منه.
وفقاً للبيانات، فإن سرطان الدم الليمفاوي الحاد ينتج عندما يتعرض الطفل _الذي يحمل طفرة جينية معينة_ للإصابة بالعدوى الشائعة بين الأطفال خلال السنة الثانية من العمر؛ بعد أن يكون الطفل قد أمضى السنة الأولى من حياته بعيداً عن أي مصدر للميكروبات والعدوى.
ويؤثر سرطان الدم الليمفاوي الحاد على طفل واحد من بين كل ألفي طفل، كما يزداد معدل انتشاره في البلدان الغنية بنسبة 1% سنوياً؛ وعلى الرغم من أن العلماء كانوا يعلمون بالفعل أن هناك بعض عوامل الخطر الجينية وراء حدوثه، إلا أن هذا البحث يقدم لنا المفاتيح الكاملة لفهم كيفية تطور هذا السرطان المدمر.
يقول كاتب البحث ميل جريفز _من معهد أبحاث السرطان في لندن: “لقد أمضيت أكثر من 40 عاماً في أبحاث سرطان الدم خلال مرحلة الطفولة، وبمرور ذلك الوقت كان هناك تقدماً هائلاً في كيفية فهمنا لآلية حدوثه وعلاجه؛ وقد بلغت نسب شفاء اللوكيميا اليوم حوالي 90% من إجمالي الحالات”.
وأضاف جريفز: “لطالما أدركت أننا نفتقد شيئاً هاماً فيما يتعلق بمعلوماتنا عن اللوكيميا؛ فلماذا وكيف يُصاب الأطفال الأصحاء بذلك المرض الخطير؟ وهل يمكننا التوصل لأساليب الوقاية منه؟”.
في هذا البحث يناقش جريفز كيف يمكن للتغيرات الجينية التي تحدث في الرحم أن تؤدي إلى ما يُسمى بـ”استنساخ ما قبل اللوكيميا”.
وبعد أن يولد الطفل بتلك الطفرة، فإن نقص تعرضه للميكروبات خلال السنة الأولى من حياته يجعل جهاز المناعة الخاص به “جاهلاً” بكيفية التعامل مع التهديدات البيولوجية بشكل صحيح.
وأخيراً _وفي عدد صغير من الحالات_ يؤدي تعرض الطفل للعدوى الشائعة إلى حدوث طفرة ثانية، مما يؤدي إلى تطور سرطان الدم الليمفاوي الحاد.
يقول جريفز: “يشير البحث بقوة إلى أن هناك سببًا بيولوجيًا واضحًا لحدوث ذلك النوع من السرطان، حيث يظهر فقط في الأطفال الذين يملكون الاستعداد الوراثي للإصابة به، والذين لم يتم إعداد أجهزة المناعة لديهم بشكل صحيح”.
ويضيف: “إن هذه الأبحاث هي بمثابة التتويج لعقود من العمل، وفي النهاية تقدم لنا تفسيراً ذا مصداقية لكيفية تطور النوع الرئيسي من سرطان الدم في مرحلة الطفولة؛ كما أنها تحطم أيضاً بعض الخرافات المتوارثة حول أن هذا المرض يحدث عادةً بسبب التعرض للموجات الكهرومغناطيسية أو التلوث”.
كان هناك عدد من النقاط التي استخدمها جريفز في أبحاثه، بما في ذلك الدراسات على الحيوانات التي أظهرت أن الحيوانات التي يتم تربيتها بعيداً عن الميكروبات تُصاب بسرطان الدم عند تعرضها للعدوى.
كما أنه نظر في الدراسات التي تبين أن الأطفال الذين رضعوا من الثدي، أو ذهبوا إلى الحضانة، أو كان لديهم أشقاء أكبر سناً لديهم فرص أقل للإصابة اللوكيميا.
والأهم من ذلك، فإنه يمكننا مع هذه البيانات منع هذا النوع من اللوكيميا من التطور؛ يقول جريفز: “معظم حالات اللوكيميا في الأطفال يمكن الوقاية منها”.
ويضيف: “قد يكون هناك احتمال أكثر واقعية، وهو تصميم لقاح وقائي يحاكي التأثير الوقائي للعدوى الطبيعية في مرحلة الطفولة، وبالتالي تصحيح العجز الموجود في المجتمعات الحديثة.”
من المهم ملاحظة أننا ما زلنا بحاجة إلى جمع المزيد من المعلومات حول هذا المرض، وربما لا يكون ذلك البحث هو صاحب الكلمة الأخيرة في هذا الشأن.


