الوَرَم الحُلَیمي القَنَوي Duct papilloma
الوَرَم الحُلَیمي القَنَوي Duct papilloma: وھو ورمٌ حميد
داخل قَناة الثدي (الأنبوب الذي ينقل الحلیبَ من الغدَّة إلى
الحلمَة)، يسبِّب سیلان الحلمة (نَجیجُ الحلمة) مُدمَّى من
ثديٍ واحد عادة ويجب استئصاله للخوف من تحوله لورم خبيث.

الأعراض:
1- يعد هو اشهر اسباب نزول الدم من الحلمه.
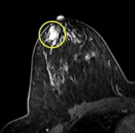
2- الورمُ الحلیمي ورمٌ يُشبِه الثؤلولَ، يَقیس حوالي 1 – 2 سم
عادة، ويوجد داخِل واحدة من قنوات الثَّدي، حیث تحمل قَنواتُ
الثدي الحلیبَ من الغدَّة إلى الحلمة.
3- الغدد الليمفاوية لا تكون متورمة.
الفحوصات:
تصوير الثدي الشعاعى (الماموجرام) Mammography
العلاج:
يكونُ الورمُ الحلیمي وراءَ الحلمة مباشرة في العادة، ويمكن أن يسبِّبَ
تَسرُّبَ السَّائل أو الدم من الحلمة. ومن السَّھل استئصالُ ھذا
الوَرَم. ويجب مراجعةُ الطَّبیب لاستبعادِ سَرطان الثَّدي، وتقديم
المعالجة اللازمة وهي الاستئصال للخوف من تحوله لورم خبيث.
المصدر: موسوعة الملك عبدالله بن عبدالعزيز.
