قبل 10 أعوام من حدوثه.. تغييرات بصرية تساعد في تشخيص مرض الشلل الرعاش
تشير دراسة جديدة نشرت في مجلة Radiology، إلى أن مرض الشلل الرعاش أو باركنسون في مراحله المتقدمة تصاحبه بعض التغييرات في المسار العصبي لحاسة الإبصار والتي يمكن من خلالها اكتشاف المرض وهو في طوره الأول.

يقول الباحث الرئيسي أليساندرو أريجو، دكتوراه في طب العيون بجامعة فيتا-سالوت في ميلانو بإيطاليا: “تماما كما أن العين هي نافذة الجسم، فإن المسار العصبي البصري هو النافذة لاضطرابات الدماغ”.
ومرض باركنسون هو حالة تنكسيه عصبية تنتج عن فقدان الخلايا العصبية في عدة مناطق في الدماغ. ويتميز مرض باركنسون بارتعاش الأطراف وتصلب الجسم، وضعف عام في الجسم مع اضطراب التوازن.
يقول الدكتور أريجو: “على الرغم من أن مرض باركنسون يعتبر اضطرابا حركيا في الأساس، إلا أن العديد من الدراسات أظهرت أن الأعراض غير الحركية شائعة الحدوث في جميع مراحل المرض. ومع ذلك، غالبا ما تكون هذه الأعراض غير مشخصة لأن المرضى ليسوا على علم بصلتها بالمرض، ونتيجة لذلك، قد يتم إهمال علاجها”.
وتشمل الأعراض غير الحركية التي يعاني منها مرضى شلل الرعاش بعض المشاكل البصرية مثل عدم القدرة على إدراك الألوان، وتغير في حدة البصر، وانخفاض معدل رمش الجفون والذي يمكن أن يؤدي إلى جفاف العين.
يقول الدكتور أريجو: “إن أعراض باركنسون غير الحركية قد تسبق ظهور الأعراض الحركية بأكثر من عقد من الزمان”.
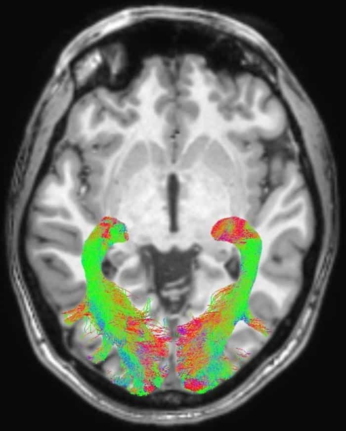
وقد شملت الدراسة 20 مريضا مصابين بمرض باركنسون تم تشخيصهم حديثا ولم يعالجوا بعد (11 رجلا و 9 نساء) و 20 شخصا آخرين غير مصابين متطابقين مع المجموعة الأولى المصابة في السن والجنس، وشارك فيها فريق متعدد التخصصات من الباحثين في طب العيون والأعصاب في جامعة ميسينا – إيطاليا. وتم إجراء تصوير بالرنين المغناطيسي لكلا المجموعتين. وقد استخدم الباحثون تقنية خاصة من التصوير بالرنين المغناطيسي لتحديد كمية المادة البيضاء في المسارات البصرية، كما خضع المشاركون في التجربة كذلك لفحص العيون التقليدي .
وقد وجد الباحثون تغييرات كبيرة في المسارات البصري لمرضى باركنسون، بما في ذلك المادة البيضاء في المتصالبة العصبية- optic chiasm.
وقال الدكتور أريجو: “إن الدراسة المتعمقة للأعراض البصرية قد توفر دلالات حساسة لمرض باركنسون في مراحله الأولى.”.وأضاف أن هناك حاجة إلى دراسات مستقبلية لتحديد أفضل توقيت لحدوث التأثيرات التنكسية على المسارات العصبية البصرية
وعقب: “نحن متحمسون جدا لنتائجنا، ولكن هذه نقطة البداية فقط”.

