فيروس زيكا
- الاكتشافات الطبية
لقاح فيروس زيكا آمن وفعال أثناء الحمل
يعد لقاح فيروس زيكا آمنًا وفعالًا عند تلقيه قبل وأثناء الحمل، وفقًا لبحث جديد نُشر في مجلة npj Vaccines .…
أكمل القراءة » - علاج الأورام
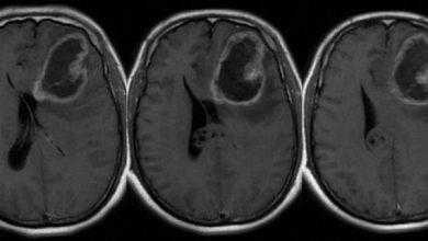
دراسة تشير إلى إمكانية استخدام فيروس زيكا لعلاج سرطانات الدماغ القاتلة
في الآونة الأخيرة تفشت حالات فيروس زيكا مسببة عيوبا في أدمغة الأطفال وهم أجنة، إلا أنه وعلى عكس المتوقع، في…
أكمل القراءة » - الأمراض المتوطنة
دراسة تجد صلة قوية بين زيكا ومتلازمة غيلان-باريه
قال باحثون من منظمة الصحة للبلدان الأميركية إن مقارنة بين معدلات الإصابة بمتلازمة غيلان-باريه قبل وبعد انتشار فيروس زيكا في…
أكمل القراءة » - الأطفال
منظمة الصحة العالمية تحزر من انتشار فيروس يحتمل انه يتلف أدمغة الأجنة
حذرت منظمة الصحة العالمية من انتشار فيروس زيكا الخطير الذي ينقله البعوض على النساء الحوامل بشكل خاص في جميع أنحاء…
أكمل القراءة »



